これまで当院での治療例をご覧ください
これまでに行った治療例を、大人の症例と小児の症例に分けて紹介しています。
矯正治療を検討されている方、または治療中の方も、ぜひ参考にご覧ください。
【大人の症例】
-
口元が突出したいわゆる“クチゴボ”状態を、
裏側(舌側)矯正で患者さんの期待を超えて治したい所を徹底的に治す治療。 -
【治療開始年齢】26歳
【治療費用】120万円(上のみ舌側装置)
【総治療期間】2年
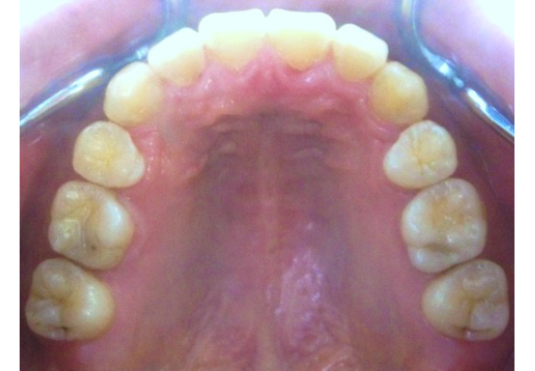
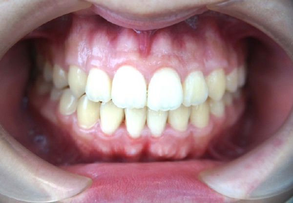
【患者さんの症状】口元が突出したいわゆる“クチゴボ”状態で、下あごの先に梅干し状のしわがあり、締まりがなく、顔全体との調和のない口元となっています。上下ともにでこぼこも認められます。
【治療結果】知的で美しい口元となり、顔全体とのバランスも良く、社会でコミュニケーションを図る時に人と面と向かって接する重要な顔立ちを大きく改善することができました。QOL(生活の質)を挙げることができたと思います。治療が進んで顔立ちがきれいに変わっていくことで、診療室に入って来られても、最初の印象から誰だかすぐにわからないことがありました。そのくらいの改善を目指して治療に当たります。
- 従来の矯正治療のみで十分な成果が得られた事例
-
【治療開始年齢】
【治療費用】約110万円(税別)
【総治療期間】約3年半
【患者さんの症状】この方は、一番奥の歯だけしか咬み合っておらず、外科的な矯正治療でしか治せないと考えておられました。できれば避けたいと考えて相談に来られました。過去の治療例をお見せして、相談して、協力が十分にして頂いた上でできるところまで矯正治療だけで治療しましょうということになりました。
【治療結果】開始すると十分な協力が得られて、矯正治療のみで十分な成果が得られました。
【小児の症例】
-
根本原因の呼吸から治して、美しく知的な顔立ちに導く早期治療。
小1、大切なのは骨格。短期間で骨格が改造。 -
【治療開始年齢】7歳
【治療費用】総額65万円(早期治療のみ)
【総治療期間】2年(早期治療のみ)
【患者さんの症状】出っ歯、不十分な鼻呼吸のため口呼吸が必要となり、舌、唇などの筋肉の良くない動き、つまり舌は突出し、唇が自然に閉じなくなり、それが呼吸の次に大切な嚥下、咀嚼などの機能も困難にしています。結果として、突出した締まりのない口元、不適切な姿勢、口から呼吸することにより免疫機能が下がり風邪など感染症のリスクが大きくなっています。単に歯並びの問題ではなく、呼吸から始まり、今後引き続く発育時にも、一層、口元、姿勢、健康面にも悪い影響を与え続けます。




















